Cabinet dentaire du Dr Stéphane PITON
Pratique de l'Orthodontie à Theix
Cabinet dentaire du Dr Stéphane PITON
Pratique de l'Orthodontie à Theix

5 Rue Jean Romieu Résidence Les Terrasses Océane
56450 Theix

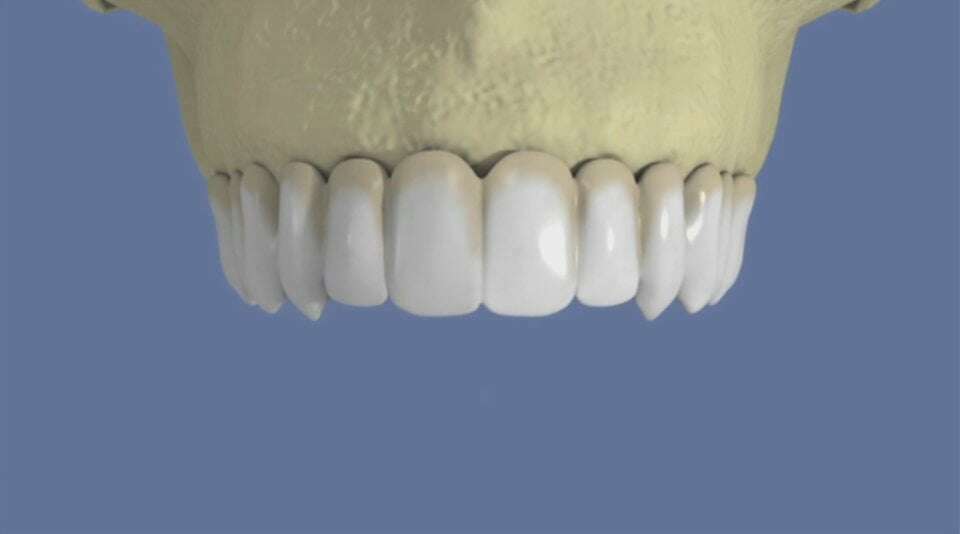
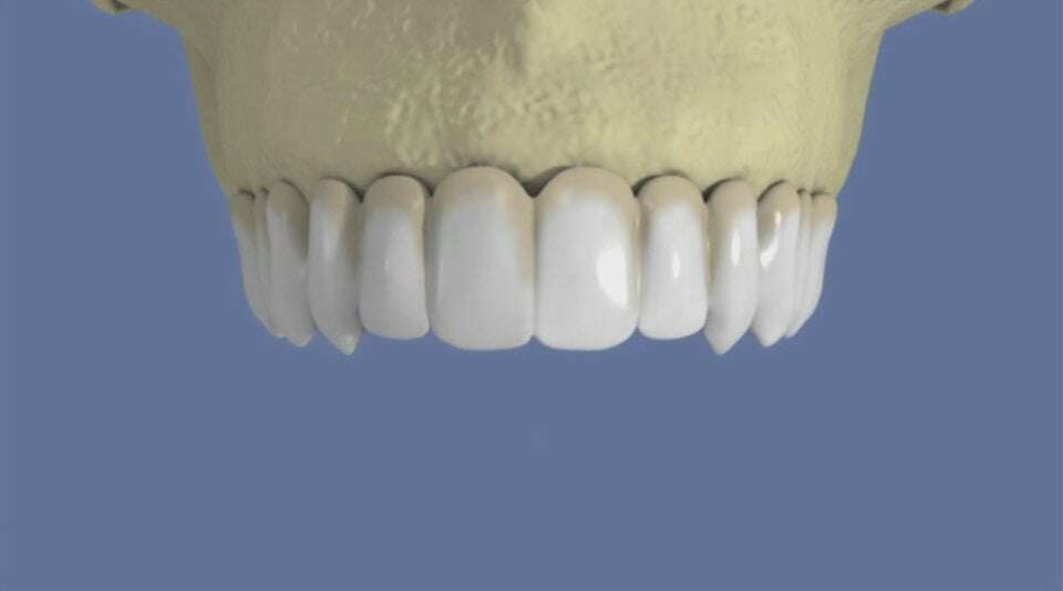
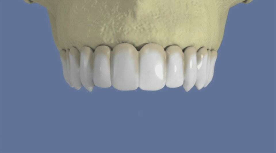
Maxillaire : bridge vissé sans fausse gencive


video-play-icon

Articles similaires

Création par Webdentiste

Connexion